Featured Post

46+ Y9 2019 Price In Uae

35+ Lyme Disease Brain Scan UK

35+ Lyme Disease Brain Scan UK. The neurological symptoms of lyme disease are some of the most confused with other illnesses. Lyme disease is a bacterial infection transmitted to humans through tick bites.

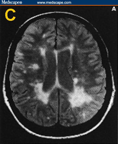
Lyme Neuroborreliosis: Manifestations of a Rapidly ...
Lyme Neuroborreliosis: Manifestations of a Rapidly ... from www.ajnr.org
Lyme disease, also known as lyme borreliosis, is an infectious disease caused by the borrelia bacterium which is spread by ticks. Research into the connection between lyme disease and the brain has found that lyme causes swelling in the brain. Intravenous antibiotics are recommended if a person has meningitis, inflammation of the lining of the brain and spinal cord, or more severe heart problems.

An estimated 300,000 people in the u.s.

But in some states, estimates suggest that lyme. Centers for disease control and prevention. Lyme disease, also known as lyme borreliosis, is an infectious disease caused by the borrelia bacterium which is spread by ticks. Because lyme disease is hard to diagnose and difficult to define, no organization has any idea how many people worldwide are infected.

Comments